成人歯科保健(歯周病予防)
1.成人期の歯・口腔の主な病気
歯周病は、むし歯と並ぶ口の中の2大歯科疾患といわれています。
また、歯周病は痛みの伴うむし歯と比べて自覚しづらく、成人の多くが罹患しているとみられ、重症化すると歯が抜け落ちてしまう病気です。
(歯周病の発症と重症化)
・歯周病とは、歯の根の歯肉(歯ぐき)の回りのポケットに歯垢がたまり、歯垢内の歯周病菌により歯肉が炎症を起こした状態です。
・歯周病の進行は、まず歯肉が赤くなったり、腫れたりして炎症が発症し、炎症が進行すると歯を支えている骨が溶けて、歯がぐらぐらと動きだし、最終的には、歯の周囲の組織が歯を支えることができずに歯が抜けてしまいます。
・炎症が歯肉(歯ぐき)に限局されている程度は「歯肉炎」といい、歯肉だけでなく歯を支えている骨などまで炎症が進行すると「歯周炎」という状態になります。
・歯周病は生活習慣の改善により予防できる生活習慣病です。また、歯周病は、糖尿病、心疾患、誤嚥性肺炎、早産などの全身疾患との関連が多く報告されています。
※「歯周病」とは、「歯周疾患」、「歯槽膿漏」とも呼ばれている歯を支えている歯周組織の病気の総称です。
|
☆歯肉炎(軽度な歯周病) ☆歯周炎(中・重度な歯周病) |
![]() |
![]() |
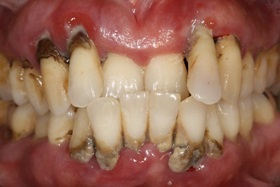
重症化した歯周病 |
| ☆喫煙は、歯周病の増悪因子の一つです。 喫煙により免疫機能の低下、創傷治癒の抑制が起こり、歯周病が悪化していきます。口腔がんの危険因子でもあります。 |
![]() |
参考:歯周病の関連ページ
※新しいウインドウ(タブ)が開きます。
2.歯科健診(歯周病検診)を受けましょう!
(1) 最近、口の中を見ましたか?
『毎日、歯磨きはしているけれど口の中は見ていない!』
・よくみると、歯肉(歯ぐき)が赤黒くなっている、ぶよぶよしている 。歯と歯肉の境目付近が白いものがついている。
・歯ブラシをあてると痛い、出血する。口臭がする、唾液がにがいなど変な味がする。
・歯の根が伸びた、歯が動く、ものが食べにくい。
このような症状があれば、歯周病が発症しています。さらに重症化している可能性もあります。
<歯周病のセルフチェック:歯周病セルフチェックリーフレット[PDFファイル/701KB]>
★自分の口の中の状態を知って、歯周病の予防や治療をはじめる機会です。まずは歯科健診(歯周病検診)を受けましょう!
(2)きっかけはいろいろです。気がついた時が、歯科健診(歯周病検診)受診の最初の一歩です。
自分の 口の中(歯や歯肉(歯ぐき)の状態など)を知り、口から身体全体の病気になるリスクを把握し、自分で自らの健康を守ることが大切です。
『お住まいの市町の歯科健診(歯周病検診)を利用しよう!』
・対象年齢など条件がありますが、お住まいの市町で歯科健診を実施している場合があります。その機会を利用して積極的に受診しましょう。
・ お住まいの市町が歯科健診が実施していない場合も自宅や勤務先の近く、または家族や知人が通院しているなどの歯科診療所にまずは行ってみて、歯科健診を受けましょう。
※歯周病検診と歯周疾患検診は同じ検診内容です。(「歯周病」は、「歯周疾患」とも言います)
| 市町名 | 成人歯科健診(歯周病検診[歯周疾患検診])の実施内容 | 問い合わせ先 |
| 長崎市 | 1.歯周疾患検診 詳細はこちら(長崎市のホームページに移動します。) |
【 長崎市口腔保健支援センター(健康づくり課内)】 電話番号 095-829-1436 |
|
2.妊産婦検診 |
||
| 佐世保市 | 成人歯科健診 詳細はこちら(佐世保市のホームページに移動します。) |
【健康づくり課】 電話番号 0956-25-9826 |
| 島原市 |
1.成人歯科検診 |
【保険健康課】 |
|
2.妊婦歯科健診 |
||
| 諫早市 | 1.成人歯周病検診 詳細はこちら(諫早市のホームページに移動します。) |
【健康増進課】 電話番号 0957-22-1500(代表) |
| 2.妊婦歯科健診 詳細はこちら(諫早市のホームページに移動します。) |
【すくすく広場】 電話番号 0957-46-5276(代表) |
|
| 大村市 | 歯周疾患検診 詳細はこちら(大村市のホームページに移動します。) |
【国保けんこう課】 電話番号 0957-53-4111(内線152) |
| 平戸市 | 歯周疾患検診 詳細はこちら(平戸市のホームページへ移動します。) |
【健康ほけん課】 電話番号 0950-22-9125 |
| 松浦市 | 歯周疾患検診 詳細はこちら(松浦市のホームページに移動します。) |
【健康ほけん課】
電話番号 0956-72-1111
|
| 対馬市 | 成人歯科健診事業 妊産婦及びその家族が対象です。 |
【いきいき健康課】 電話番号 0920-52-4888 |
| 壱岐市 | 1.歯周疾患検診 詳細はこちら(壱岐市のホームページに移動します。) |
【健康増進課】 電話番号 0920-45-1114 |
| 2.妊婦のお口の健康チェック事業 詳細はこちら(壱岐市のホームページに移動します。) |
【壱岐市子育て世代包括支援センター いきいろ】 電話番号 0920-45-1201 |
|
| 五島市 |
1.歯周疾患検診(節目検診) |
【五島市】 |
|
2.妊婦歯科健診 |
【こども未来課】 |
|
| 西海市 |
歯周疾患検診 |
【健康ほけん課】 |
| 雲仙市 |
1.お口のチェック検診(歯周病予防健診) |
【健康づくり課】 |
| 2.妊婦歯科検診 詳細はこちら(雲仙市のホームページへ移動します。) |
【子ども支援課】 電話番号 0957-36-2500 |
|
| 南島原市 | 1.歯周病予防健診 詳細はこちら(南島原市のホームページに移動します。) |
【健康対策課】 電話番号 0957-73-6641 |
|
2.妊婦歯科健診 |
【こども未来課】 電話番号 0957-73-6652 |
|
| 長与町 | 歯周疾患健診 詳細はこちら(長与町のページに移動します) |
【健康保険課】 電話番号 095-801-5820 |
|
時津町 |
1.歯周疾患検診 40.50.60歳の方が対象です。 |
【国保・健康増進課】 電話番号 095-882-3938 |
| 2.妊婦歯周疾患健診 詳細はこちら(時津町のホームページへ移動します。) |
||
| 東彼杵町 | 歯周病検診 20.30.40.50.60.70歳の方が対象です。 |
【健康ほけん課】 電話番号 0957-46-1111(代表) |
| 川棚町 | 歯周疾患検診 詳細はこちら(川棚町のホームページへ移動します。) |
【健康推進課】 電話番号 0956-82-5412 |
| 波佐見町 |
歯科健診 |
【健康推進課】 電話番号 0956-85-2483 |
| 小値賀町 | ※検診は行われておりません。 |
【健康管理センター】 電話番号 0959-56-3763 |
| 佐々町 | 1.住民健診(歯周疾患検診) 年度中に40.45.50.55.60.65.70歳になられる方が対象です。 |
【健康相談センター】 電話番号 0956-63-5800 |
| 2.妊婦歯科健診 詳細はこちら(佐々町ホームページへ移動します。) |
||
| 新上五島町 | 歯周疾患検診 30.40.50.60歳の方が対象です。 |
【健康保険課】 電話番号 0959-53-1163 |
※詳細は、各市町へお問い合わせください。
※75歳以上の方
長崎県後期高齢者医療広域連合が実施している「お口”いきいき”健康支援(口腔ケア)事業」があります。
詳細は「後期高齢者医療制度の保健事業について」を参照(長崎県後期高齢者医療広域連合のページに移動します。)
<長崎県後期高齢者医療広域連合>
〒850-0875
長崎市栄町4番9号 長崎県市町村会館5階
電話番号 095-816-3930
(3)年に1回は歯科健診(歯周病検診)を受けましょう!
・市町の実施している歯周病検診(節目検診)は、10年に1度の場合が多いようです。しかし、口の中は、日々変わりますので、定期的な口の中の状態を把握した方が良いです。
・歯科健診(歯周病検診)を受診したきっかけを大切にして、少なくとも1年に1回 歯科健診(歯周病検診)を受診するよう心がけましょう!
3.かかりつけ歯科医を持ちましょう!
(1)自分に合った「かかりつけ歯科医」を見つけましょう!
・歯が痛い、しみる、歯ぐきが痛い、歯がぐらぐらするなど口の中の症状があった時だけ受診するのは、単に「行きつけ」の歯科診療です。
「かかりつけ歯科医」とは、日頃から自分の口の中を把握してもらい、相談や歯科保健指導、予防処置や初期治療など定期管理をしてもらう歯科医(歯科診療所)のことです。
・セルフケアだけでは、口の中のトラブルを防ぐことが難しいので、「かかりつけ歯科医」での定期管理は重要です。
いくら自分で丁寧に歯みがきをしていても、どうしても歯石ができたり、自分では届かない部分の汚れ(歯垢)があります。
また、歯の表面の着色(茶渋やタバコなど)やバイオフィルムなど歯ブラシだけでは清掃困難な付着物もあります。
そのため、定期的に歯科健診を受診し、歯石除去や専門的な口腔清掃(PMTC)で口の中の管理が必要となります。
・自分にあった歯科医をかかりつけにしましょう!
きっかけは、市町の歯科健診を受診した、治療中で相談しやすい、家族や知人の紹介、子どもの頃から受診しているなどいろいろあると思います。その中で自分が定期的に受診しやすい場所、治療や相談・指導が丁寧、定期的に連絡してくれる、話しやすいなど自分にとって相性が良いと感じられる歯科医(歯科診療所)を見つけましょう。
(2)「かかりつけ歯科医」を探したい場合、以下から歯科診療所を検索することができます。
・長崎県のホームページ「ながさき医療機関情報システム」



