歯周病という病気
※本解説は、本県が作成した歯周病予防のマニュアル「歯ぐきの病気を知ろう!」をもとにHP用に編集を加え再構成しています。
【目次】
- はじめに
- 歯周病とは
【歯肉炎と歯周炎】 - 歯周病をもっと知ろう
(1)歯肉からの出血は、歯周病のサイン
(2)歯周病は感染病
(3)バイオフィルム(プラークでできた膜)の形成
(4)健康な歯肉と歯周病の違い
(5)特殊な歯周病(若年性歯周炎) - 歯周病と全身への影響
- 歯周病は生活習慣病!
1.はじめに
歯周病とは、歯を支えている組織を破壊する歯肉注)の病気のことです。
さて、最近では10代の若者の60%近くに歯肉炎※1がみられます。このまま放っておくと進行して歯周炎※1で歯を抜かなければならなくなるかもしれないと聞いたら、あなたはどのように感じますか?中年以降の歯の喪失の90%は歯周病が原因です。全身への影響も強い、恐ろしい病気なのです。しかも、糖尿病や高血圧症のように生活習慣病の一つに数えられ、この病気と向かい合うあなたの姿勢で、治り方に著しい差のでる、医者任せにできないやっかいな病気なのです。でも初期の歯肉炎のうちにきちんと治療をうけるとちゃんと治る特徴もあります。正しい知識と定期健診であなたの美しい歯を大切にしましょう。
※1 『2.歯周病とは【歯肉炎と歯周炎】』を参照
注)用語
歯肉(しにく)とは、歯ぐき(はぐき)のことを言います。
2.歯周病とは
歯周病は歯の周りの組織(歯周組織)の病気です。歯を支える土台ともいえる大事なからだの一部です。図1をみてください。歯周組織は歯肉,歯根膜,セメント質と歯槽骨の4つからなります。これらがしっかりとした連携プレーで、物を咬む強い力に対応しています。歯周病はこれらの組織が破壊される病気(図2)で、だんだん歯を支えきれなくなり、動きやすくなったり、噛めなくなって、最後には自然と脱落したり、歯医者さんに抜いてもらうことになります。歯の寿命を縮めてしまう危険な病気なのです。
図1 歯周組織の模式図 図2 歯周病の進行状態
【歯肉炎と歯周炎】
歯周病になる原因は、歯肉の中に細菌が侵入するのは、歯と歯肉の隙間からと考えられています。
細菌が侵入することにより、最初は歯肉が赤く腫れ、歯磨きなどで血が出るなどの歯肉の表面に炎症が起きます。これを「歯肉炎」といいます。
さらに、初期の炎症をそのままにしておくと、歯を支えている歯肉にしまりがなくなり、腫れが強くなってポケットのような隙間ができます。これが歯周ポケットです。炎症は歯肉から歯の周囲へと拡大していき、組織が破壊されて「歯周炎」と呼ばれる状態になります。この場合、歯を支えている骨(歯槽骨)までが壊されるため、歯が動くようになったり、噛んだ時に痛みを感じたりするようになるのです。
つまり、歯肉炎の進行形が歯周炎ということになります。
| 【用語】 | 歯周病 | 歯肉炎と歯周炎の総称です。専門家では、総称を歯周疾患と言っています。 |
| 歯垢 | 口腔内細菌のかたまり。歯周病の主な原因です。プラークとも言われています。 | |
| 歯石 | 歯に沈着した白い(歯周ポケット内は黒い)ざらざらしたかたまり。歯周病の主な原因である歯垢が歯につきやすくなるので、直接的な原因ではなく、口腔内環境を悪化させる要素となっています。 |
ポイント
| 歯肉炎 | 歯ぐきに限られた炎症状態(軽度) (症状)
|
| 歯周炎 |
炎症が拡大し、歯を支えている骨や靱帯などの組織が破壊された状態(中度・重度)
|
3.歯周病をもっと知ろう!
(1)歯肉からの出血は、歯周病のサイン
朝からお口がねばねばしたり歯磨きで出血しませんか。歯周病の初期は、特に痛みがなくても歯肉に炎症があり、出血する場合もありますので歯周病の可能性が自己チェックができます。ひどくなると歯ぐきが赤く腫れたりしてむし歯みたいな痛みがでてきます。歯垢(プラーク)が残っていないか、歯ぐきの隙間(歯周のポケット)が深くなっていないか、そして時にはレントゲンで骨の検査などが必要になります。口臭などが強くなったりしますので気をつけてください。
(2)歯周病は感染病
からだの病気の多くは、ばい菌(細菌)が侵入することによって起こります。歯周病も細菌が歯肉に感染して広がる感染症なのです。口の中には腸の中にいる細菌と同じように、口腔常在菌と呼ばれる細菌が住み着いていて、「良い細菌」と「悪い細菌」が同居(共生といいます)しています。健康な時にはそのバランスがとれているのですが、歯磨きを怠ると口の中の「悪い細菌」が増えてきて病気を起こしやすくなり、歯肉に炎症が生じます。つまり、炎症というのは人間のもちあわせた細菌に対する防衛反応で、からだの危険を知らせてくれるサインのようなものです。歯肉は炎症で赤くなったり、はれたりしますから、今、自分が病気になっているかどうかは、鏡をじっくり見ることで楽に発見できる場合が多いのです。
(3)バイオフィルム(プラークでできた膜)の形成
さて、口の中の細菌はプラーク(歯垢)(図3)と呼ばれる細菌膜を作って歯に付着します。特にこれは最近はバイオフィルムとも呼ばれています。複数の細菌の集団(図4)で薬も効きにくく歯ブラシなどで機械的に清掃しなければ取れません。むし歯も歯周病もこのプラーク(歯垢)が原因で起こります。しかも歯周病ではそれが歯周のポケットに溜まるので除去が大変です。ポケット面は潰瘍になっており深さ数ミリのポケットの歯が何本もありますとコイン大以上になりますので内臓への影響が予想されます。
(4)健康な歯肉と歯周病の違い
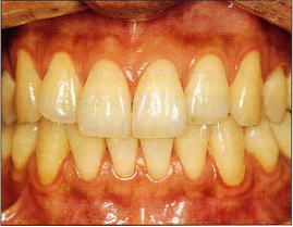
健康な歯肉と病気の歯肉はどう違うのでしょう。実際に歯周病になっている患者さんと健康な歯肉をもつ人の口の中を比較してみましょう。図5は健康な歯肉です。淡いピンク色で硬く引き締まった歯肉をしています。歯と歯の間の歯肉は三角形の歯肉で満たされています。図6の上の写真は歯周病の初期の段階、つまり歯肉炎の歯肉です。赤くはれていて、歯を磨いたり、硬いものを食べた時に歯肉から出血する時もあります。歯肉炎の段階では炎症が歯肉にとどまって、歯の周りの深い所にまで及んでいないため、歯を支える骨(歯槽骨)が溶かされることはありません。これに対して歯周炎は、図6の下の写真のように歯肉の炎症の状態が進行しています。歯肉はいっそうはれて、歯石がたくさん歯にくっつき、歯と歯肉の隙間から膿がみられたり、口臭がすることもあります。この段階では骨が溶かされているので、歯が動きやすくなったり、歯肉がさがったり(退縮)して歯の根っこ(歯根)が露出するようになります。歯の根元についている黒いものも歯石の一種です。歯と歯肉の境目(歯周ポケットの開口部)にみえる白い液状のものが膿です。歯が動くようになり、このように歯並びまで悪くなってしまったのです 。
(5)特殊な歯周病(若年性歯周炎)
歯周病のほとんどは、歯肉炎から徐々に進行していく慢性の成人性歯周炎(慢性歯周炎)ですが、ごく稀に思春期前後に発症する非常に進行が早く、破壊の著しい歯周炎(若年性歯周炎(破壊進行性歯周炎))もあります。このタイプの歯周炎は、多くは細菌に対する抵抗力が弱まっているので、歯垢(プラーク)の付着の多い少ないだけで進みやすいかどうかの判断はできません。
歯周病はどのようなタイプであれ、少なくとも歯磨きの際に出血することが多いので、少しでも異常を感じたら歯科医師に診てもらうのが得策です。進行しやすい歯周病とはいっても、直接の引き金はやはり歯垢(プラーク)で、歯垢(プラーク)の付着しない人には歯周病は起きないのです。
4.歯周病と全身への影響
全身的に何らかの病気があり、細菌に対する抵抗力が弱っている時は、歯周病が悪化しやすくなります。糖尿病や性ホルモンの異常、ストレスや骨粗鬆症などがそうです。生活習慣病も歯周病を進ませてしまいます。歯周病は細菌の感染力とからだの抵抗力のバランスが崩れたときに起こってしまうので、全身の影響は理解しやすいと思います。これとは逆に、歯周病が全身の病気を引き起こしたり、悪化させることもあるのでしょうか?近年、この方面に関する研究が進んでおり、驚くべき事実が明らかにされるようになってきました。まず第一に、重度の歯周病をもつ人の死亡率が高いということ。歯周病は感染症ですから、歯周組織の血管に侵入した細菌が全身を駆け回る際に、からだのあちこちで重篤な状態を引き起こしている可能性があります。同様に、血液感染により早産や低体重児出産の危険性を著しく高め、心臓血管に作用して心臓発作を起こしたりするのです。また、プラーク(歯垢)の細菌が、直接、気管に侵入して肺炎を引き起こす細菌の活動を助けることもわかりました。歯周病は生命の危険とも関連していることは十分に理解しなければなりません。
5.歯周病は生活習慣病!
糖尿病(正確にはインシュリン非依存性糖尿病)や高血圧症,肥満症やアルコール性肝障害などは生活習慣の乱れから起こることが多いため、「生活習慣病」と呼ばれていますが、歯周病も食習慣や喫煙の影響による生活習慣病の一つに数えられるようになりました。 つまり、歯周病を予防するには、生活習慣のひとつである歯みがきの方法を正確に実行したり、歯科医院での定期的な予防管理を行い、歯垢(プラーク)を排除することと生活習慣の改善に努めるという二本立てで戦う必要があります。
歯周病対策
歯周病(歯肉炎・歯周炎)は、口腔内細菌と人の抵抗力のバランスが崩れ、炎症が重度になると損傷した部位は脆弱となり、歯を支えることができなくなります。そうなると、歯は健康でも脱落したり、抜かざるを得なくなってしまいます。また歯肉炎は子どもの時から発症している場合もあり、若い世代における歯周病の発症や重症化への影響が懸念されています。したがって、若いうちから歯周病の発症を予防する対策は必要であり、重症化を予防するためにも生涯歯周組織を常に良好に保つための対策が重要となります。
また、歯周病の原因菌が動脈硬化や心疾患、脳血管障害に悪影響を及ぼすこと、また糖尿病とは相互に悪影響を及ぼし、メタボリックシンドロームや肥満とも関連していることが報告されており、口腔機能の維持により、全身の健康増進や疾病の発症予防など、県民の生活の質の向上や健康寿命の延伸に関わる分野として医科と歯科が連携して対応する必要があります。
具体的な歯周病の予防についてはこちらから→歯周病予防






