働く人のためのお口の健康づくり
長崎県
長崎県歯科医師会
事業主のみなさんお口の健康づくりをはじめてみませんか?
<事業主のみなさんへ>
事業主の方は、健康増進法では、健康増進事業実施者であり、その責務としては、働く人の健康増進に対して積極的な推進を努めるよう定められ、労働安全衛生法では、酸等を扱う「歯・歯周組織に対して有害な業務」に従事する者に対して歯科検診を行うように法律で定められています。
しかし、各々の事業の発展のためには、全ての働く人たちが健康で快適に働くことができることが重要であり、そのためにも、法律で定められているだけでなく、働く人たちの歯や歯ぐきの痛みやお口の病気の影響で全身の病気になるなどの不安や悩みから解消する必要があります。
お口の病気を職場全体で予防することで、職場でのお口の悩みや不安がなくなり、働く人たちの勤労意欲にもつながることでしょう!
支援機関もありますので、ぜひ、お口の健康づくりをはじめてみましょう!
【メリット1】歯や歯ぐきが痛くて仕事に集中できないという悩みを解消!
【メリット2】歯の治療のために休む必要がなくなる!
【メリット3】治療に必要な歯科医療費を削減できる!
【メリット4】他の全身の病気になる危険性を少なくできる!
その他にも口臭による営業活動への悩みの防止、歯を失うことでかみ合わせが不安定になり腰痛や食事困難で体が弱ったりするなどの全身への影響による仕事への悪影響の防止、福利厚生の充実した企業・事業所というPR効果など幅広いメリットを生み出すことが可能と考えられます。
まずは、リーフレット巻末にある支援機関に企画内容や資料のご相談をしてみましょう!
お口の病気は、全身への病気になるもとです!
働いている方が特に発症しやすいお口の病気
☆歯周病とは・・・
歯ぐきの発赤・腫脹・出血、排膿(膿が出ること)があり、口臭、歯の動揺(歯がぐらぐら動くこと)によって噛みにくくなり、そして、重症化すると歯が脱落する。
☆病気の重症度
・歯肉炎:歯ぐきのみの炎症(元に戻ります)
・歯周炎:歯を支えている組織(歯ぐき、歯を支えているじん帯、骨)まで炎症が進行(もとの状態には戻りませんが、進行を止めて歯周組織を維持することが必要です。)
※歯肉炎から歯周炎と状態が重症化します。
☆予防方法:口腔衛生の徹底(正しいブラシッングが重要)
予防効果があるのは40歳以前で正しいブラッシングを身につけることです。また、40歳以上の方は、早く正しいブラッシングを身につけることで歯周病の進行を止めることができます。
次のページに歯みがきの方法について例をあげていますが、正しくブラッシングするためにも、ぜひ「かかりつけ歯科医院」で定期管理を受けるようにしましょう!
歯みがき方法の例
バス法
歯ブラシの当て方
歯ブラシの当てる角度
1.歯ブラシを歯と歯ぐきの境目に45度の角度で軽く当てます。
2.歯ブラシを歯と歯ぐきの境目に当てたまま小刻みに軽く動かします。
(ポイント)
・磨き残しがないように順番にブラッシングする。
・強く動かすと歯ぐきを痛めるので注意する。
・歯ぐきの近い部分を意識してブラッシングする。
スクラビング法
歯ブラシの当て方
歯ブラシの当てる角度
1.歯ブラシを歯と歯ぐきの境目に90度の角度で軽く当てます。
2.歯ブラシを歯と歯ぐきの境目に当てたまま小刻みに軽く動かします。(大きく動かすと単なる横磨きになり効果がありません。)
(ポイント)
・磨き残しがないように順番にブラッシングする。
・強く動かすと歯根が削れてしみるようになるので注意する。
労働衛生の基礎知識
健康で安心した労働環境を築きましょう!
法律で酸等扱う歯・歯周組織に対して有害な業務に対して歯科検診を行うように定められています。働くみなさんが安心して働くことができる環境が繁栄への道標です。
労働安全衛生法第66条第3項
事業者は、有害な業務で、政令で定めるものに従事する労働者に対し、厚生労働省令で定めるところにより、歯科医師による健康診断を行わなければならない。
労働安全衛生法施行令第22条第3項
法第66条第3項の政令で定める有害な業務は、塩酸、硝酸、硫酸、亜硫酸、フッ化水素、黄りんその他歯又はその支持組織に有害な物のガス、蒸気又は粉じんを発散する場所における業務とする。
労働安全衛生規則第48条
事業者は、令第22条第3項の業務に常時従事する労働者に対し、その雇入れの際、当該業務への配置換えの際及び当該業務についた後6ヶ月以内ごとに1回、定期に、歯科医師による健康診断を行わなければならない。
代表的な職業性のお口の病気について
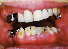
歯牙酸蝕症(歯の酸蝕症)
歯牙酸蝕症は、科学的原因によって発生した実質欠損(歯質部分が欠いていること)を伴う歯の疾病で、職業病として原因の明らかな場合の呼称です。(写真参照)
職業性でない歯の侵蝕(エナメル質等が溶けること)に対しては歯牙酸蝕症とは呼びません。(生活習慣の中で細菌が原因で発生しているう蝕と区別している。)
出典:松本歯科大学 近藤 武
歯牙酸蝕症が発生しやすい職場
一般的には蓄電池工場、肥料工場、顔料・染料工場、火薬製造工場、鉱金工場等の無機酸や有機酸を扱う製造行程がある事業所。
歯牙酸蝕症の発生部位
作業条件が悪い時代では、臼歯部までの全歯牙まで発生する可能性があったが、(現在あるとしたら)上下額の前歯
部に見られることがある。
※謝辞 歯牙酸蝕症の写真の提供:宮崎県 矢崎 武 氏から貴重な口腔内写真をご提供いただき、厚くお礼申し上げます
口腔に症状をあらわす職業性疾患の原因物質と症状など
| 原因 | 原因物質 | 疾病名および口腔症状 |
| 金属 |
鉛 |
鉛中毒、顔面蒼白、鉛縁、歯肉炎、味覚の異常 |
| ハロゲン |
弗素 |
カタール性・潰瘍性口内炎、歯の腐食 |
| その他の無機物 |
砒素 |
歯肉炎、口内炎、骨疽 |
| 酸類 | 硫酸、硝酸、塩酸、酢酸、蟻酸など | 歯の酸蝕症 |
| アルカリ類 | 苛性ソーダ、苛性カリ、炭酸ソーダ等 | 口腔粘膜の剥離 |
| ガス | 亜硫酸ガス | 歯の酸蝕症 |
| 有機化合物 |
アニリン |
口唇チアノーゼ、歯肉に青紫の色素沈着 |
| ニトロ化合物 |
ニトロベンゼンなど |
粘膜とくに口唇のチアノーゼ、歯肉の色素沈着 |
| 粉塵 | 鉱物性および金属性 | 塵肺症、歯の摩耗症、歯肉炎、歯石沈着 |
| 作業と習慣 | ガラス吹きなど | 歯の摩耗症、前歯部の半月状欠損、歯の転移、歯肉肥大 |
| 感染症 | 微生物 | 流行性潰瘍性口内炎、カタール性口内炎、歯肉の腫脹 |
相談機関
企業・事業所での歯科健診や歯科健康指導・歯科健康教育などを実施するために歯科医師など歯科専門家の派遣等を希望される方や検討されている方、検討するためのデータなど詳細な情報を知りたい方など、まずはお気軽に歯科の専門機関である長崎県歯科医師会へ問い合わせください。
【問い合わせ】 長崎県歯科医師会
【住所】852-8104 長崎市茂里町3番19号
【電話番号】095-848-5311
【ファックス】095-846-0175
【URL】長崎県歯科医師会ホームページ
歯・歯ぐきなどお口の健康が気になる方は、かかりつけの歯科医院又はお住まいの市町及び保健所へご相談下さい。
| 保健所名 | 住所 | 電話番号 |
|
長崎市保健所 |
長崎市魚の町4-1(11階) | 095-829-1436 |
| 佐世保市保健所 | 佐世保市高砂町5-1 | 0956-24-1111 |
| 西彼保健所 | 長崎市滑石1-9-5 | 095-856-5059 |
| 県央保健所 | 諫早市栄田町26-49 | 0957-26-3306 |
| 県南保健所 | 島原市新田町347-9 | 0957-62-3289 |
| 県北保健所 | 平戸市田平町里免1126-1 | 0950-57-3933 |
| 五島保健所 | 五島市福江町7-2 | 0959-72-3125 |
| 上五島保健所 | 南松浦郡新上五島町有川郷2254-17 | 0959-42-1121 |
| 壱岐保健所 | 壱岐市郷ノ浦町本村触620-5 | 0920-47-0260 |
| 対馬保健所 | 対馬市厳原町宮谷224 | 0920-52-0166 |








